
左侧丘脑深处
一个4厘米的肿瘤正压迫着
大脑最核心的神经枢纽
如果切除偏离一毫米
患者可能永久偏瘫
多切一分
也可能再也醒不过来……
近日,中山一院神经外科
杨李轩教授团队
在南沙院区成功为53岁的李先生
实施左侧丘脑巨大高级别
胶质瘤切除术
依托术中核磁共振技术
突破了脑部高危功能区肿瘤
“切除难、保功能更难”的困境
突然头晕、视力下降
原来是大脑里长瘤了
1个月前,李先生突然出现头晕、视力下降的症状,前往当地医院就诊后,头部CT检查提示颅内存在肿物。“得知脑子里长了瘤,感觉天都塌了。”回忆起那一刻,李先生仍心有余悸。为寻求更好的诊疗方案,一家人辗转多地,最终来到南沙院区,找到杨李轩教授。
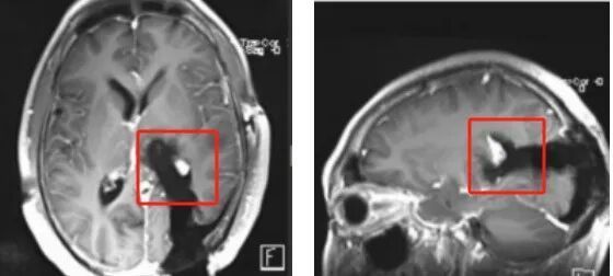
颅脑MR检查显示:左侧基底节区-丘脑-海马区域见一类圆形肿块,大小约45mm×42mm×40mm,初步考虑胶质母细胞瘤。胶质瘤是常见的原发性颅内恶性肿瘤,其中高级别胶质瘤侵袭性强、预后差,而发生于丘脑、基底节区等高危功能区的肿瘤,毗邻重要神经结构,此类手术需在最大限度切除肿瘤与最大限度保留功能之间实现精细平衡,一度被视为神经外科“手术禁区”,难度极大。
术前MR
此时,患者面临两难抉择:手术可能致昏迷、偏瘫等严重并发症;放弃手术则无法明确病理,后续辅助治疗无从开展,病情将迅速恶化。“他是家中的顶梁柱,上有老下有小。我们既要控制肿瘤,更要保住神经功能,让他术后能回归正常生活。”杨李轩说。
术中磁共振辅助
精准切除脑瘤
为此,杨李轩团队为该患者量身定制了阶梯式个体化治疗方案:先行机器人立体定向活检术,精准获取肿瘤组织以明确病理;再依据病理结果决定治疗路径。术前,团队顺利实施机器人辅助立体定向左侧基底节区肿瘤穿刺活检术,术中病理提示为恶性肿瘤,高度怀疑高级别胶质瘤。
结合病理结果与患者诉求,杨李轩教授牵头组织神经外科、放射诊断科、重症医学科等多学科专家会诊,决定依托术中核磁共振技术实施精准切除。该技术可在手术过程中实时更新影像数据,清晰界定肿瘤边界,精准显示关键功能结构,帮助术者规避重要神经传导束,降低手术风险。
手术由杨李轩教授主刀,李西西、王进山主治医师协助,手术麻醉中心、放射诊断科全程配合。在术中核磁引导下,医生精细剥离肿瘤,全程避让了关键神经传导束,最大限度保护丘脑及基底节功能。术后当晚,患者清醒,可对答,未出现昏迷、偏瘫等并发症。经后续精心治疗与护理,患者顺利出院,转入放化疗阶段。
术中增强MR
“是神经外科团队给了我们这个家新的希望。”出院前,患者及家属反复表达感激之情。杨李轩表示,机器人立体定向活检术与术中核磁共振技术的联合应用,构建起“病理精准诊断—手术精准切除—功能精准保护”全程诊疗闭环,为高危区域脑肿瘤患者提供了更安全、有效的治疗选择。目前,该联合技术已在神经外科广泛用于深部和功能区肿瘤的精准治疗,惠及众多患者。
▼ 推荐阅读 ▼
点击图片了解更多新闻
▼2cm鸡骨卡喉,1岁半娃命悬一线!这个急救误区很多家长都犯过
▼孕期又遭遇恶性肿瘤合并肠梗阻,多学科团队如何化险为夷?
▼广州首次!穗港跨境直通救护车转运患者
--- FAH-SYSU ---
来源|中山一院
校审|杨李轩、王进山
初审|潘曼琪
审核|赖佳明
终审|彭福祥
新宝策略-新宝策略官网-配资股票配资-十大正规实盘配资平台提示:文章来自网络,不代表本站观点。